Menu

Dentist in Kings Hill

About IQ Dental and Implant Centre

We are Kings Hill’s trusted clinic for quality dental and cosmetic treatments. From routine check-ups and hygiene visits to Invisalign®, children’s orthodontics, and advanced dental implants – including full mouth All-on-4 – we provide high-quality care in a calm, five-star setting.

  • tick black pink circle icon tick black white circle icon Your comfort and smile come first
  • tick black pink circle icon tick black white circle icon We treat every patient like family
  • tick black pink circle icon tick black white circle icon Modern, comfortable environment
Explore Now
IQ Dental and Implant Centre

Dental implants

You smile, we smile...

Durable and effective tooth replacement - Dental implants restore both function and aesthetics for missing teeth.

Book in person consultation
  • tick black pink circle icon tick black white circle icon Metal-free Implants options
Dental implants
IQ Dental and Implant Centre
IQ Dental and Implant Centre
logo white plain symbol

Noticed something unusual with your teeth? We're here to help

down white plain arrow down black plain arrow

Invisalign®

Clear aligners, clear results

Aligners designed to match your unique smile goals.

Book a FREE consultation
Invisalign
IQ Dental and Implant Centre
IQ Dental and Implant Centre

Invisalign® offers

Interest-free finance available

Free whitening worth £295

Free initial consultation worth £95

Free 3D scan worth £350

Interest-free finance available

Free whitening worth £295

Free initial consultation worth £95

Free 3D scan worth £350

IQ Dental bespoke treatments

Quick and effective smile makeover

General Dentistry

Experience dramatic results with minimal dental work.

Learn More

Tailored treatments for a radiant smile

Cosmetic Dentistry

Custom cosmetic solutions to enhance your natural beauty.

Learn More

Transforming smiles with advanced teeth straightening

Orthodontics

Gentle solutions for healthier, beautifully aligned smiles.

Learn More

Restoring smiles with lasting solutions

Dental Implants

Creating confident smiles with secure tooth replacements.

Learn More

Restoring confidence through subtle enhancements

Facial Aesthetics

Gentle treatments for natural, youthful, radiant results.

Learn More

Quick and effective smile makeover

General Dentistry

Experience dramatic results with minimal dental work.

Learn More

Tailored treatments for a radiant smile

Cosmetic Dentistry

Custom cosmetic solutions to enhance your natural beauty.

Learn More

Transforming smiles with advanced teeth straightening

Orthodontics

Gentle solutions for healthier, beautifully aligned smiles.

Learn More

Restoring smiles with lasting solutions

Dental Implants

Creating confident smiles with secure tooth replacements.

Learn More

Restoring confidence through subtle enhancements

Facial Aesthetics

Gentle treatments for natural, youthful, radiant results.

Learn More
View all Treatments

Real results from real people

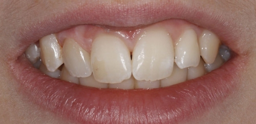
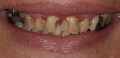
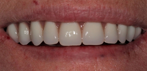
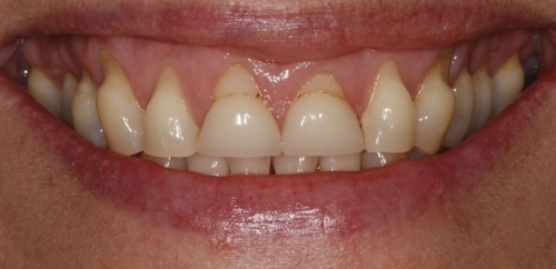
Treatment used: Aesthetic restoration

“Done by Dr Antonio de Vivo.”

View Smile Gallery
Aesthetic restoration before
Before
Aesthetic restoration after
After

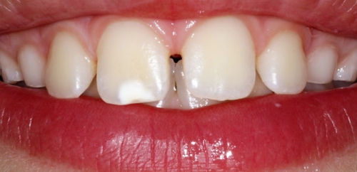
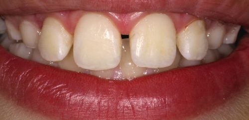
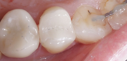
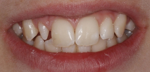
Treatment used: Icon remineralisation

“Done by Dr Antonio de Vivo.”

View Smile Gallery
Icon remineralisation before
Before
Icon remineralisation after
After

Treatment used: Smiledesign with orthodontics

“Done by Dr Antonio de Vivo.”

View Smile Gallery
Smiledesign with Orthodontics before
Before
Smiledesign with Orthodontics after
After

Treatment used: Smiledesign with veneers

“Done by Dr Antonio de Vivo.”

View Smile Gallery
Smiledesign with Veneers before
Before
Smiledesign with Veneers after
After

Treatment used: Smiledesign with crowns

“Done by Dr Antonio de Vivo.”

View Smile Gallery
Smiledesign with Crowns before
Before
Smiledesign with Crowns after
After

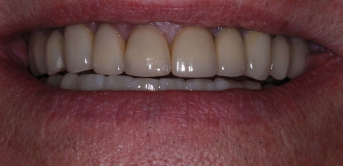
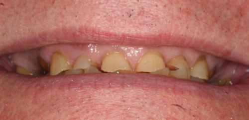
Treatment used: All on four

“Done by Dr Antonio de Vivo.”

View Smile Gallery
All on Four before
Before
All on Four after
After

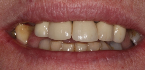
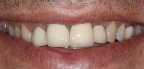
Treatment used: Full mouth rehabilitation

“Done by Dr Antonio de Vivo.”

View Smile Gallery
Full Mouth Rehabilitation before
Before
Full Mouth Rehabilitation after
After

Treatment used: Mini smiledesign

“Done by Dr Antonio de Vivo.”

View Smile Gallery
Mini Smiledesign before
Before
Mini Smiledesign after
After

Treatment used: Smiledesign with implants

“Done by Dr Antonio de Vivo.”

View Smile Gallery
Smiledesign with Implants before
Before
Smiledesign with Implants after
After

Treatment used: Single tooth veneer on upper right lateral tooth

“Done by Dr Antonio de Vivo.”

View Smile Gallery
Single Tooth Veneer on Upper Right Lateral Tooth before
Before
Single Tooth Veneer on Upper Right Lateral Tooth after
After

Find out what our patients are saying

google blue red yellow green plain icon

Tracey B

star yellow plain icon

Thank you to Antonio and the team at IQ Dental. My dental implants look amazing, and the care, kindness and professionalism shown were exemplary. You’re all amazing. Thank you.

google blue red yellow green plain icon

Keith G

star yellow plain icon

Not a big fan of the dentist – but Fabrizio was amazing. I had an extraction, literally no pain. It made the whole experience calming. Couldn’t recommend these guys enough.

google blue red yellow green plain icon

Sabine RC

star yellow plain icon

I care about my dental health very much. IQ Dental is one of the best dental practices I have used. I have been to Harley Street and Wimpole Street, London dentists, but IQ Dental truly surpasses them all! Thank you, IQ Dental.

google blue red yellow green plain icon

Christine A

star yellow plain icon

I have been going to this dental practice for quite a few years now, with a gap post-COVID where I tried a different, slightly more local one. Suffice to say, I returned pretty quickly to IQ Dental, where you walk in and feel like you’re in a comforting, holistic clinic rather than a dentist’s waiting room! The service is consistently outstanding, from the welcome you receive from the lovely receptionists to the superb skills of the dentists and hygienists, particularly Antonio, who is amazing. I have recently had a dental implant, all carried out by Antonio and would not hesitate to recommend him. A thorough and highly skilled dentist who makes sure everything is done to the highest standards, with outstanding care and attention. If I could give more than 5 stars, I would.

google blue red yellow green plain icon

Tracey B

star yellow plain icon

Thank you to Antonio and the team at IQ Dental. My dental implants look amazing, and the care, kindness and professionalism shown were exemplary. You’re all amazing. Thank you.

google blue red yellow green plain icon

Keith G

star yellow plain icon

Not a big fan of the dentist – but Fabrizio was amazing. I had an extraction, literally no pain. It made the whole experience calming. Couldn’t recommend these guys enough.

google blue red yellow green plain icon

Sabine RC

star yellow plain icon

I care about my dental health very much. IQ Dental is one of the best dental practices I have used. I have been to Harley Street and Wimpole Street, London dentists, but IQ Dental truly surpasses them all! Thank you, IQ Dental.

google blue red yellow green plain icon

Christine A

star yellow plain icon

I have been going to this dental practice for quite a few years now, with a gap post-COVID where I tried a different, slightly more local one. Suffice to say, I returned pretty quickly to IQ Dental, where you walk in and feel like you’re in a comforting, holistic clinic rather than a dentist’s waiting room! The service is consistently outstanding, from the welcome you receive from the lovely receptionists to the superb skills of the dentists and hygienists, particularly Antonio, who is amazing. I have recently had a dental implant, all carried out by Antonio and would not hesitate to recommend him. A thorough and highly skilled dentist who makes sure everything is done to the highest standards, with outstanding care and attention. If I could give more than 5 stars, I would.

IQ Dental and Implant Centre

Why choose us?

Evidence-based-approach Evidence-based-approach

Evidence based approach

Patient-centred-care Patient-centred-care

Patient centered care

Commitment-to-excellence Commitment-to-excellence

Commitment to excellence

Advanced-technology-and-techniques Advanced-technology-and-techniques

Advanced technology & techniques

Experienced-and-caring-team Experienced-and-caring-team

Experienced & caring team

Comprehensive-treatments Comprehensive-treatments

Comprehensive treatments

Dr Antonio de Vivo

Principal Dentist

Antonio graduated from the University of the Witwatersrand, South Africa in 1991 with an academic award in paediatric dentistry.

Meet the Team

Claudia De Vivo

Dental Nurse

Meet the Team

Dr Eman Lavasani

Associate Dentist

Eman joined the IQ Dental team in 2021.

Meet the Team

Timea Arvai

Dental Hygienist

Meet the Team

Natalija Jurcika

Dental Nurse

Meet the Team

Get in touch

Google Rating
4.9
Google Rating
Google-review