Menu
down white plain arrow down black plain arrow
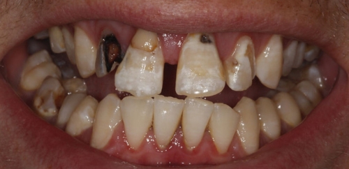
Smiledesign with Crowns before
Before
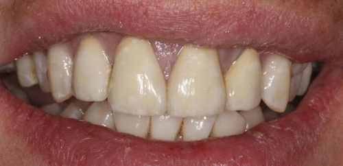
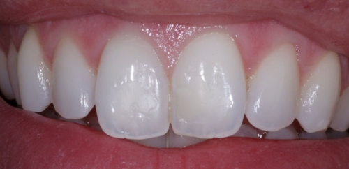
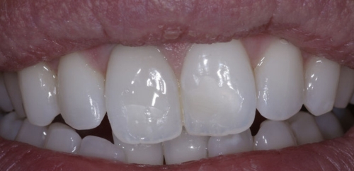
Smiledesign with Crowns after
After

Smiledesign with crowns

Done by Dr Antonio de Vivo. Would you like to achieve a similar result for your smile? Call us today on: 01732 522 255.

Explore Now
All on Four before
Before
All on Four after
After

All on four

Done by Dr Antonio de Vivo. Would you like to achieve a similar result for your smile? Call us today on: 01732 522 255.

Explore Now
Smile Rehabilitation before
Before
Smile Rehabilitation after
After

Smile rehabilitation

Done by Dr Antonio de Vivo. Would you like to achieve a similar result for your smile? Call us today on: 01732 522 255.

Explore Now
Teeth Whitening before
Before
Teeth Whitening after
After

Internal whitening

Done by Dr Antonio de Vivo. Would you like to achieve a similar result for your smile? Call us today on: 01732 522 255.

Explore Now

Get in touch

logo white plain symbol

Noticed something unusual with your teeth? We're here to help

down white plain arrow down black plain arrow

IQ Dental bespoke treatments

Quick and effective smile makeover

General Dentistry

Experience dramatic results with minimal dental work.

Learn More

Tailored treatments for a radiant smile

Cosmetic Dentistry

Custom cosmetic solutions to enhance your natural beauty.

Learn More

Transforming smiles with advanced teeth straightening

Orthodontics

Gentle solutions for healthier, beautifully aligned smiles.

Learn More

Restoring smiles with lasting solutions

Dental Implants

Creating confident smiles with secure tooth replacements.

Learn More

Restoring confidence through subtle enhancements

Facial Aesthetics

Gentle treatments for natural, youthful, radiant results.

Learn More

Quick and effective smile makeover

General Dentistry

Experience dramatic results with minimal dental work.

Learn More

Tailored treatments for a radiant smile

Cosmetic Dentistry

Custom cosmetic solutions to enhance your natural beauty.

Learn More

Transforming smiles with advanced teeth straightening

Orthodontics

Gentle solutions for healthier, beautifully aligned smiles.

Learn More

Restoring smiles with lasting solutions

Dental Implants

Creating confident smiles with secure tooth replacements.

Learn More

Restoring confidence through subtle enhancements

Facial Aesthetics

Gentle treatments for natural, youthful, radiant results.

Learn More
View all Treatments

Find out what our patients are saying

google blue red yellow green plain icon

Tracey B

star yellow plain icon

Thank you to Antonio and the team at IQ Dental. My dental implants look amazing, and the care, kindness and professionalism shown were exemplary. You’re all amazing. Thank you.

google blue red yellow green plain icon

Keith G

star yellow plain icon

Not a big fan of the dentist – but Fabrizio was amazing. I had an extraction, literally no pain. It made the whole experience calming. Couldn’t recommend these guys enough.

google blue red yellow green plain icon

Sabine RC

star yellow plain icon

I care about my dental health very much. IQ Dental is one of the best dental practices I have used. I have been to Harley Street and Wimpole Street, London dentists, but IQ Dental truly surpasses them all! Thank you, IQ Dental.

google blue red yellow green plain icon

Christine A

star yellow plain icon

I have been going to this dental practice for quite a few years now, with a gap post-COVID where I tried a different, slightly more local one. Suffice to say, I returned pretty quickly to IQ Dental, where you walk in and feel like you’re in a comforting, holistic clinic rather than a dentist’s waiting room! The service is consistently outstanding, from the welcome you receive from the lovely receptionists to the superb skills of the dentists and hygienists, particularly Antonio, who is amazing. I have recently had a dental implant, all carried out by Antonio and would not hesitate to recommend him. A thorough and highly skilled dentist who makes sure everything is done to the highest standards, with outstanding care and attention. If I could give more than 5 stars, I would.

google blue red yellow green plain icon

Tracey B

star yellow plain icon

Thank you to Antonio and the team at IQ Dental. My dental implants look amazing, and the care, kindness and professionalism shown were exemplary. You’re all amazing. Thank you.

google blue red yellow green plain icon

Keith G

star yellow plain icon

Not a big fan of the dentist – but Fabrizio was amazing. I had an extraction, literally no pain. It made the whole experience calming. Couldn’t recommend these guys enough.

google blue red yellow green plain icon

Sabine RC

star yellow plain icon

I care about my dental health very much. IQ Dental is one of the best dental practices I have used. I have been to Harley Street and Wimpole Street, London dentists, but IQ Dental truly surpasses them all! Thank you, IQ Dental.

google blue red yellow green plain icon

Christine A

star yellow plain icon

I have been going to this dental practice for quite a few years now, with a gap post-COVID where I tried a different, slightly more local one. Suffice to say, I returned pretty quickly to IQ Dental, where you walk in and feel like you’re in a comforting, holistic clinic rather than a dentist’s waiting room! The service is consistently outstanding, from the welcome you receive from the lovely receptionists to the superb skills of the dentists and hygienists, particularly Antonio, who is amazing. I have recently had a dental implant, all carried out by Antonio and would not hesitate to recommend him. A thorough and highly skilled dentist who makes sure everything is done to the highest standards, with outstanding care and attention. If I could give more than 5 stars, I would.

Google Rating
4.9
Google Rating
Google-review